Οδοντικό αποστήμα
Το οδοντικό απόστημα είναι μια λοίμωξη με πύον που βρίσκεται γύρω από την άκρη της ρίζας του δοντιού (ακρορίζιο), λόγω βακτηρίων που νέκρωσαν τον οδοντικό πολφό και προσπαθούν να εξαπλωθούν έξω από το ριζικό σωλήνα των δοντιών.
Υπάρχουν δύο πιο συνηθισμένοι τύποι αποστημάτων: το περιακροριζικό απόστημα που επηρεάζει το ακρορίζιο (κορυφή) ενός δοντιού και το περιοδοντικό απόστημα που σχηματίζεται στον ιστό των ούλων.
Οι στατιστικές αποκαλύπτουν ότι η τερηδόνα, τα σπασμένα δόντια (τραύμα), η σοβαρή ασθένεια των ούλων (περιοδοντίτιδα) ή η αποτυχημένη θεραπεία του ριζικού σωλήνα, να είναι τα συχνότερα αίτια των οδοντικών αποστημάτων.
Ο πόνος, η ερυθρότητα, το πρήξιμο και η κακή αναπνοή είναι τα πιο συνηθισμένα συμπτώματα των οδοντικών αποστημάτων που συνήθως αντιμετωπίζονται με αντιβιοτικά. Τα αντιβιοτικά είναι επίσης χρήσιμα για την πρόληψη της εξάπλωσης των μικροβίων στο λαιμό, στα ιγμόρεια ή στο αυτί. Σε ορισμένες περιπτώσεις υπάρχουν παράγοντες κινδύνου που μπορούν να επιδεινώσουν τη νόσο (διαβήτης, HIV). Το απόστημα των δοντιών κατά τη διάρκεια της εγκυμοσύνης ή του θηλασμού πρέπει να αντιμετωπίζεται από γιατρό.
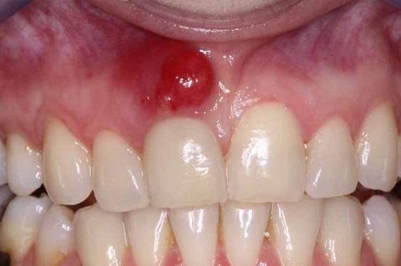
Συμπτώματα :
– Ερυθρότητα και πρήξιμο στο μάγουλο. Το πιο χαρακτηριστικό σύμπτωμα οδοντικών αποστημάτων είναι το πρησμένο μάγουλο. Αυτό οφείλεται στη συσσώρευση του πύον και στην αυξημένη ποσότητα αίματος. Στην πραγματικότητα, οι ανοσοποιητικές άμυνες (λευκά αιμοσφαίρια) μεταφέρονται από την κυκλοφορία του αίματος, γι ‘αυτό και η μολυσμένη περιοχή διογκώνεται και γίνεται κόκκινη ή μοβ.
– Το “σπυράκι”εμφανίζει” κίτρινο ή λευκό κεφάλι.
– Πικρή γεύση στο στόμα σας. Όταν το πύον βγαίνει από το απόστημα που παροχετεύεται μόνο του ή λόγω της οδοντιατρικής θεραπείας, μπορεί να αισθανθείτε μια δυσάρεστη γεύση στο στόμα σας. Είναι προσωρινό και για να απαλλαγείτε από αυτό απλά πρέπει να ξεπλύνετε το στόμα σας με νερό ή χρησιμοποιώντας αντιβακτηριακό στοματικό διάλυμα με χλωρεξιδίνη.
– Πόνος στο αυτί, στο σαγόνι και στον αυχένα. Μερικοί ασθενείς αναφέρουν ήπιο έως οξύ πόνο που επηρεάζει το αυτί τους, τη γνάθο και το λαιμό στην ίδια πλευρά με το επηρεασμένο δόντι.
– Ο πόνος χειροτερεύει το βράδυ. Αυτό συμβαίνει λόγω της θέσης του σώματός σας. Όταν ξαπλώνετε στο κρεβάτι, η αρτηριακή πίεση στο μολυσμένο δόντι σας αυξάνει την πίεση μέσα στο ριζικό σωλήνα. Για να ανακουφίσετε τον πόνο που προκαλείται από το περιοδοντικό απόστημα, πρέπει να τοποθετήσετε δύο μαξιλάρια πίσω από το κεφάλι σας.
– Κακή αναπνοή που προκαλείται από πύον.
Μπορεί να αισθάνεστε κακή αναπνοή στο στόμα (halitosis) που προέρχεται από την περιοχή της λοίμωξης λόγω της οσμής του πύου.
– Αυξημένη ευαισθησία σε ζεστό ή κρύο ποτό και φαγητό. Εάν το απόστημα σας προκαλείται από σπασμένο δόντι ή βαθιά τερηδόνα, ο πονόδοντος μπορεί να έρθει ξαφνικά ή να επιδεινωθεί εάν πίνετε ή τρώτε πολύ ζεστό ή κρύο φαγητό επειδή το νεύρο του δοντιού αφήνεται ακάλυπτο.
-Δυσκολία στο μάσημα και την κατάποση
Τα συμπτώματα που αναφέρονται παραπάνω είναι τα πιο κοινά, αλλά υπάρχουν πρόσθετα σημεία που πρέπει να ληφθούν υπόψη.
Αν παραμείνει χωρίς θεραπεία, η λοίμωξη εξαπλώνεται προκαλώντας:
– Πυρετό
– Δυσκολία να ανοίξετε το στόμα ή να καταπιείτε
(Αυτό συμβαίνει επειδή η μόλυνση των δοντιών επηρεάζει τη άρθρωση της γνάθου).
– Πρησμένα λεμφογάγγλια του λαιμού.
– Ναυτία
– Δάρροια
– Πονοκέφαλο
– Μούδιασμα των γνάθων.
– Γενικά αίσθημα κακουχίας.
Ο οδοντίατρος απομακρύνει τα βακτηρίδια από το απονευρωμένο δόντι, αλλά μετά από κάποιο χρονικό διάστημα η λοίμωξη ξαναρχίζει και πάλι. Τότε χρειάζεται θεραπεία, επανάληψης ενδοδοντικής θεραπείας. Αυτή η δεύτερη διαδικασία ονομάζεται “επανεπεξεργασία του ριζικού σωλήνα“.
Ακρορριζεκτομή
Στη συγκεκριμένη περίπτωση, ορισμένοι οδοντίατροι προτιμούν την προσέγγιση της ακροριζεκτομής αντί του ριζικού σωλήνα. Με άλλα λόγια, ο ενδοδοντικός κάνει μια μικρή οπή στο κόκκαλο για να φτάσει στην μολυσμένη περιοχή και αφαιρεί την κύστη μαζί με το άκρο της ρίζας που έχει μολυνθεί.
Εξαγωγή δοντιών
Σε περίπτωση που το δόντι είναι πλήρως κατεστραμμένο από την τερηδόνα και το οδοντικό απόστημα εξαπλώνεται παντού, η τελευταία ευκαιρία είναι η εξαγωγή των δοντιών.
Πόσο καιρό χρειάζεται για να θεραπευτεί ένα μολυσμένο δόντι;
Αυτή είναι μια πολύ δύσκολη ερώτηση, διότι εξαρτάται από τη σοβαρότητα της λοίμωξης, πόσο σοβαρά έχει καταστραφεί το δόντι.
Μετά τη διαδικασία διάνοιξης που αφήνει το πύον να παροχευτευτεί προς τα έξω, το πρήξιμο στο μάγουλο αρχίζει να μειώνεται καθώς και ο πόνος. Αν ακολουθήσετε τις οδηγίες του γιατρού, μετά από δύο ή τρεις ημέρες, η εκροή του αποστήματος πρέπει να είναι ελάχιστη. Όλες οι πληγές θα πρέπει να επουλωθούν σε 10-14 ημέρες.
Ακόμα κι αν το πρήξιμο και η πληγή εξαφανιστούν σημαίνει ότι το πρόβλημα έχει επιλυθεί? Εξακολουθείτε να χρειάζεστε φαρμακευτική αγωγή ή χειρουργική επέμβαση για να σώσετε το δόντι σας ή για να το αφαιρέσετε.
Οι καλύτερες πρακτικές στοματικής υγιεινής:
- βούρτσισμα δύο φορές την ημέρα.
- εξετάστε τη δυνατότητα χρήσης οδοντόκρεμας φθορίου που δίνουν στα δόντια σας πρόσθετη προστασία από τη φθορά των δοντιών.
- Στοματικό διάλυμα με αντιβακτηριακό (η γλυκονική χλωρεξιδίνη είναι εξαιρετικό για να κρατήσει τα βακτηρίδια υπό έλεγχο).
- Κακές συνήθειες καλύτερα να αποφευχθούν.
- Κόψτε το κάπνισμα.
- Περιορίστε την κατανάλωση αλκοόλ.
- Μην πίνετε σόδα, ενεργειακά ποτά με υψηλή περιεκτικότητα σε ζάχαρη.
- Μη τρώτε τσιπς πατάτας, αποξηραμένα φρούτα, σνακ υψηλής θερμιδικής αξίας.
- Έλεγχοι ρουτίνας και επαγγελματικός καθαρισμός στον οδοντίατρο.
Αν έχετε ακόμα φρονιμήτες, θα πρέπει να τους δώσετε μεγαλύτερη προσοχή επειδή μπορεί να προκαλέσουν λοίμωξη των ούλων που μπορεί να οδηγήσει σε απόστημα.
Όλοι γνωρίζουμε ότι όλα τα προβλήματα υγείας που έχουν προληφθεί στο χρόνο μπορούν να λυθούν καλύτερα. Αλήθεια και για την οδοντική λοίμωξη.
Γι ‘αυτό σας συνιστούμε να επισκεφθείτε το ιατρείο του οδοντιάτρου σας τουλάχιστον δύο φορές το χρόνο για να κάνετε πλήρη εξέταση στο στόμα σας, εξετάσεις ακτίνων Χ για να ανακαλύψετε κρυφές κοιλότητες και τα δόντια σας να καθαρίζονται επαγγελματικά.
